歯科口腔外科について
お口まわりの幅広い疾患に対応しています
歯科口腔外科では、あごの骨や粘膜、舌、唾液腺などの疾患をはじめ、顔面神経のまひや神経痛、出血の異常、外傷(骨折や裂傷)など、口腔周辺のトラブル全般に対応する診療科です。
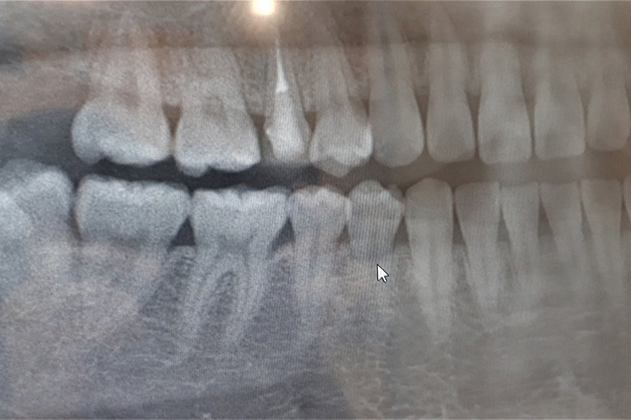
当院では必要に応じて歯科用レントゲンを活用し、歯の根や親知らずの状態を把握したうえで、正確な診断と処置を行っています。当院での処置が難しい手術が必要となる場合には、適切な医療機関をご紹介させていただきます。
次のようなお悩みがある方はご相談ください
- 親知らずが痛む、違和感がある、抜歯を勧められた
- 転倒や衝突で歯が折れた、欠けた、ひびが入った
- 歯ぐきや顔が腫れて痛む
- 口の中にできものがある、赤みやただれが気になる
- 繰り返し口内炎ができる、痛みが強い
- 口が乾きやすい、ネバつく、口臭が気になる
- あごが痛む、カクカク音が鳴る、口が開きにくい
- 顔の一部にズキズキとした痛みがある
歯科口腔外科分野の主な疾患
親知らず
親知らずとは、10代後半から20代にかけて生えてくる奥歯のことです。
あごのスペースが足りず、斜めや横向きに生えるケースも多く、周囲の歯に悪影響を及ぼすことがあります。違和感や痛みがある場合は、早めに受診して状態を確認しましょう。
顎関節症
あごの痛みや関節音、口の開きづらさなどがある場合、顎関節症が疑われます。日常のクセやストレス、外傷などが関係しているとされており、重症化すると外科的な処置が必要になることもあります。早期の対応が大切です。
口内炎・口腔粘膜の異常
口内炎は、唇や頬、舌などの粘膜に炎症が起きた状態を指しますが、原因は栄養不足からウイルス、ストレス、アレルギー反応までさまざまです。さらに、腫瘍などの粘膜疾患が隠れている可能性もあるため、自己判断は禁物です。
特に、炎症や腫れに心当たりがない、色の変化があるなどの症状が見られるときは、早めの受診をおすすめします。
事前に予約されますと、待ち時間も少なく、
スムーズに治療を進めることができます。


